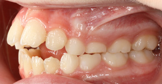
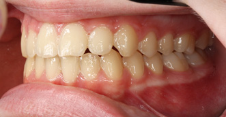
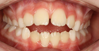
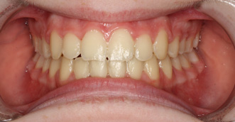
Why is early treatment important?
The Australian Society of Orthodontics recommends that all children see a Specialist Orthodontist for an early consultation by the age of eight. At this age, Dr Tselepis can detect orthodontic issues and correct them, or even intercept them before they begin.
Early treatment can help save time and money on more lengthy and comprehensive orthodontic treatment later in your child’s lifetime. It can also set them up with a healthy smile, as straight teeth help with oral hygiene, digestion, speech and even wear of teeth.




